Lista de trabajo
| N° | ID | Paciente | Modalidad | Descripción | Fecha | Estado | |
|---|---|---|---|---|---|---|---|
| 1092231 | TRX24566546 | Sandra Volk | DX | AP Pectoral simple | 29/04/2019 09:23:10 | Agendado | |
| 1092233 | TRX00201435 | Victor Allen | CT | Abdomen | 29/04/2019 09:32:40 | Agendado | |
| 1092234 | TRX09243100 | Manuela Dominguez | DX | AP Pectoral simple | 29/04/2019 09:35:02 | Agendado | |
| 1092235 | TRX01224255 | Diana Gil | MR | Cerebro | 29/04/2019 09:39:56 | Agendado | |
| 1092238 | TRX98324110 | Pedro Forsch | DX | AP Pectoral simple | 29/04/2019 09:46:32 | Agendado |
En la lista de trabajo convencional, los pacientes son ordenados según la fecha de asignación de sus citas, no es posible establecer un priorización sin que antes hayan sido atendidos, esto representa una deficiencia para el proceso de trabajo de los médicos y un riesgo para los pacientes que requieren una atención preferencial.
Análisis del estudio
Imagen original
La radiografia es consultada al PACS de forma automática
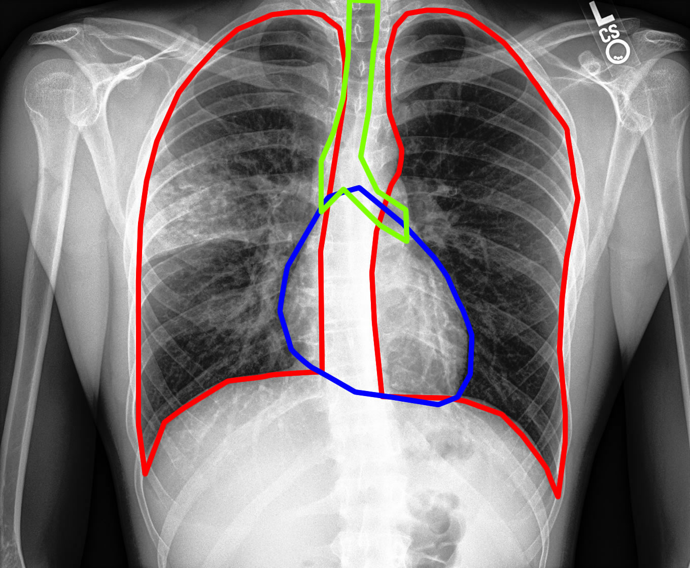
Detección de órganos
Se localizan los órganos para hacer un análisis detallado de cada uno
Localización de signos patológicos
Las zonas aéreas de los pulmones son sometidas al análisis de las redes neuronales en búsqueda de anomalíasAnálisis de patrones
DETECCIÓN DE SIGNOS PATOLÓGICOS
| Observaciones | |
| Hallazgos | Consolidación lobar, lóbulo medio del pulmón derecho Reforzamiento de la trama, pulmón derecho |
| Presunción: | 90% infección por neumococos |
| Prioridad asignada: | 72 |
Con el análisis de la imagen y la ubicación de los patrones patológicos se puede realizar las impresiones del estudio de forma automática e instantánea, además de evaluar criterios de calidad de la imagen, a partir de estos datos, se asigna un nivel de urgencia para el paciente.
Priorización
| N° | ID | Paciente | Modalidad | Descripción | Fecha | Estado | Riesgo calculado |
|---|---|---|---|---|---|---|---|
| 1092238 | TRX98324110 | Pedro Forsch | DX | AP Pectoral simple | 29/04/2019 09:46:32 | Screening | 72% |
| 1092234 | TRX09243100 | Manuela Dominguez | DX | AP Abdomen simple | 29/04/2019 09:35:02 | Screening | 45% |
| 1092233 | TRX00201435 | Victor Allen | CT | Abdomen | 29/04/2019 09:32:40 | Realizado | N/A |
| 1092235 | TRX01224255 | Diana Gil | MR | Cerebro | 29/04/2019 09:39:56 | Realizado | N/A |
| 1092237 | TRX13549001 | Celia Ramírez | MR | Rodilla | 29/04/2019 09:44:12 | Realizado | N/A |
| 1092231 | TRX24566546 | Sandra Volk | DX | AP Pectoral simple | 29/04/2019 09:23:10 | Screening | 10% |
Toraxia al ser totalmente compatible con estándares de interoperabilidad como DICOM y HL7, garantiza la completa integración con los RIS PACS disponibles en el mercado por lo que puede obtener una lista de trabajo priorizada y un análisis disponible a través del visor de estudios.
Demostración
Funciones disponibles
- Interoperabilidad DICOM HL7
- Segmentación de órganos
- Localización de patrones patológicos de infecciones respiratorias
- Cálculo de prioridad
- Organización de la lista de trabajo
